孩子得了淋巴管畸形怎么办?
2024-08-26 17:12:33 浏览次数:
姗姗1岁时,家长无意中发现她的脖子上鼓出来一个小包,后来包块越来越大,呼吸都有些急促,姗姗的病情逐渐加重,右侧颈部凸起一个犹如皮球大小的包块,巨大的包块使宝宝的头偏向一侧,在包块压迫下,姗姗已经面色苍白、呼吸困难!家长非常着急,经多方打听,来北京儿童医院寻求救治。经过专家的详细检查,考虑姗姗得了“淋巴管畸形”。专家们感觉到姗姗病情的复杂且凶险,巨大的包块像个小山包一样裹着颈部大血管,还压迫气管,从脖子一直达到了胸腔,稍有不慎,可能会导致生命危险。
1、淋巴管畸形是什么?
淋巴管畸形,以往也叫“淋巴管瘤”,实际上并不是真正的肿瘤,而是一种良性的先天性畸形。正常情况下,人体内有丰富的细小的淋巴管道,互相混合成网,再逐渐汇集成一系列由小到大的各级管道,负责运送体内的蛋白质,脂肪,以及淋巴细胞等,具有重要的功能。
2、为什么会发生淋巴管畸形?
目前医学还没有完全研究清楚,一般认为是由于患儿在妈妈肚子发育过程中,由于某种原因使得淋巴管系统紊乱,造成某些部位的淋巴管道异常生长和扩张,局部形成一团紊乱的结构,从而在身体表面或体内形成肿块样的病变。大约2000-4000个孩子中就有一个会发生这种疾病,多数在2岁前发病,约一半的患者出生时即发现得了这种病。
3、淋巴管畸形有哪些类型?
根据淋巴管囊腔大小和形态,可分三种类型。
【巨囊型】
由1个或多个体积较大的囊腔构成,各个囊腔之间有时是互相联通的,囊腔内包含着水一样的液体,这种类型治疗效果较好。

【微囊型】
由多个体积很小的囊腔构成,内部就像蜂窝;有些病变就如同盘根交错的树根,向四周到处生长,难以分辨边界,这种类型治疗很困难,效果较差。

【混合型】
包含以上两种病变形态,治疗效果介于二者之间。

4、淋巴管畸形如何确诊?
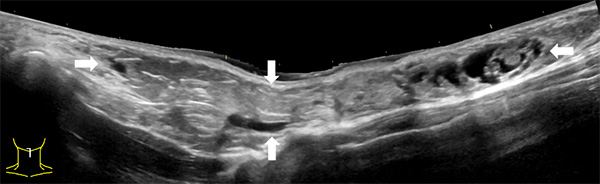
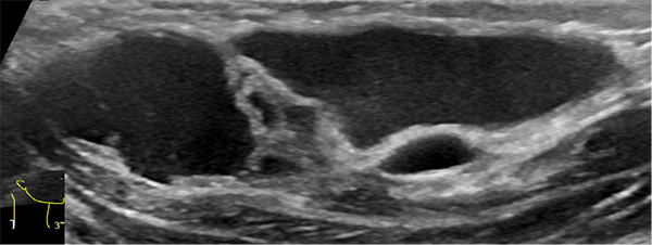
由于淋巴管畸形可发生在身体的任何部位,大多数发生在头颈部,其次为腋窝、纵膈及四肢。通常进行超声、磁共振、CT、诊断性抽液等检查,必要时依据情况进行穿刺活检,基本可以确诊。当怀疑患有淋巴管畸形时,应首先做超声检查,查清楚病变的部位、性质、大小及与周围组织的关系,评估是否需要治疗以及如何治疗。
淋巴管畸形超声:精准定位病灶部位范围以及与周边脏器的关系

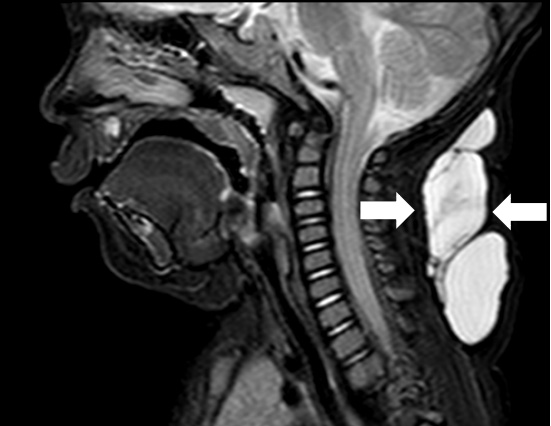
超声难以确诊的病例,或病变周围结构较复杂(如在颈部、纵隔等部位)以及位置较深(如在腹腔、盆腔等部位)治疗难度大、风险高时,往往需加做磁共振检查,更精确评估病情。当影像学检查难以诊断时,也可行诊断性穿刺,若穿刺抽出淡黄色清亮淋巴液即可诊断为淋巴管畸形,若抽出陈旧性血液结合细胞学检查可诊断为淋巴管瘤伴出血。

淋巴管囊肿磁共振检查

淋巴管畸形术中抽出液体
(可呈淡黄色清亮或陈旧性血性液体)
5、淋巴管畸形为什么要积极治疗?
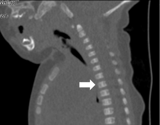
通常情况下淋巴管畸形生长缓慢,但是很少自己消退,随着年龄增长病变会越来越大。在遭受外伤、感染及囊内出血或不适当治疗后,常突然增大。如果淋巴管畸形生长在特殊部位,则可能影响容貌,导致身体畸形,压迫重要器官(如气管、心脏等)引起功能障碍,造成长期后遗症,甚至危及患儿生命。故对该病需要采取积极恰当的治疗措施。

纵隔巨大淋巴管畸形压迫气管影响呼吸
6、淋巴管畸形怎么治疗?
目前淋巴管畸形的治疗方法多种多样,包括硬化治疗、手术治疗、热消融治疗、口服药物治疗等,尚无一种方法适合所有类型的淋巴管畸形,需要根据每位患儿的具体情况选择最为合适的方法。
【1.硬化治疗】
硬化治疗对巨囊型和混合型淋巴管畸形疗效较好;微囊型淋巴管畸形由于内部囊腔较多且小,药物难以分布到所有囊腔,单独治疗疗效较差。与手术治疗相比,硬化治疗有较多的优点:
① 创伤很小,不损伤重要神经、血管、腺体、肌肉等组织结构;
② 超声监视下进行治疗,操作相对简便,安全性高;
③ 外形恢复良好,无明显瘢痕。
目前常用的硬化剂有博来霉素(平阳霉素)、聚桂醇/聚多卡醇、 OK-432(沙培林)等,缺点是有时需要多次治疗。
【2.手术治疗】
手术治疗是过去最主要的,甚至是唯一的治疗手段,但是手术创伤较大,容易遗留瘢痕,影响患儿的外观,目前只有极少数病例需要在婴幼儿期行手术切除。此外,头颈部解剖结构复杂,重要组织器官聚集,加之微囊型病变呈浸润式生长,与正常结构无明显界限,因此彻底切除十分困难,容易造成严重的副损伤,术后复发率也很高。因此,通常在硬化治疗效果欠佳,或有危及生命的并发症时才考虑手术。对于大面积的病灶,可联合应用手术、硬化、热消融等方法。
【3.热消融治疗】
热消融治疗方法(微波、射频、激光消融等)在儿科领域的应用,为复杂淋巴管畸形的治疗带来了新的突破。超声引导下热消融治疗术是将一根很细的电极准确地放入病灶内,局部产生高温,将病灶组织彻底毁损,由于治疗全过程都在超声的监视之下,可以精准控制治疗范围,最大程度减灭病灶,并保护周边重要的器官和组织(如神经、血管等)。与手术治疗相比,热消融治疗损伤更小,且治疗可控性更高;与硬化治疗相比,热消融治疗对淋巴管的毁损更彻底,因此治疗次数更少,效率更高。
热消融治疗对混合型和微囊型淋巴管畸形也具有较好的疗效。对于部分复杂或病变范围较大的淋巴管畸形,与硬化治疗联合应用可获得更好的疗效,更低的复发率。

【4.口服药物治疗】
口服药物治疗目前是淋巴管畸形治疗研究的热点。研究发现,西罗莫司等药物对淋巴管畸形可能有效,部分患者的病灶体积缩小。但部分患者对药物反应不佳,甚至无效,且有发生高脂血症和中性粒细胞减少症等不良反应的风险。有待进一步研究来分析疗效和长期不良事件。
珊珊治疗的后续
针对珊珊的病情,医院立即启动多学科会诊,迅速召集耳鼻咽喉头颈外科、超声科、口腔颌面外科、重症医学科、影像科、麻醉科等相关科室专家会诊。通过集体讨论,最终决定采用超声引导下微波消融联合药物注射治疗的方法,并为患儿制定出一整套周密的方案。最终,经过充分准备,在多科室配合下,手术由超声科石文媛主任带领团队有惊无险地顺利完成。手术后,按照预定方案,姗姗立即转入专科病房看护,经多科室通力协作,对患儿进行了一个多月的综合调理,姗姗终于转危为安,顺利出院。
上一篇: 甲亢患儿的希望之光:儿童甲亢微波消融治疗
下一篇: 超声造影









.jpg)

.jpg)




