儿童纵隔肿瘤,一文带你了解
2024-08-14 15:11:55 浏览次数:
在所有的肿瘤里,可能有一种肿瘤并不为人所知,那便是纵隔肿瘤。纵隔肿瘤并不是指某一种肿瘤,而是一大类肿瘤的合称。但是纵隔这个名词或许对于大部分人来说都很陌生。因此在了解纵隔肿瘤之前,我们先来看一下什么是纵隔呢?
1.什么是纵隔?
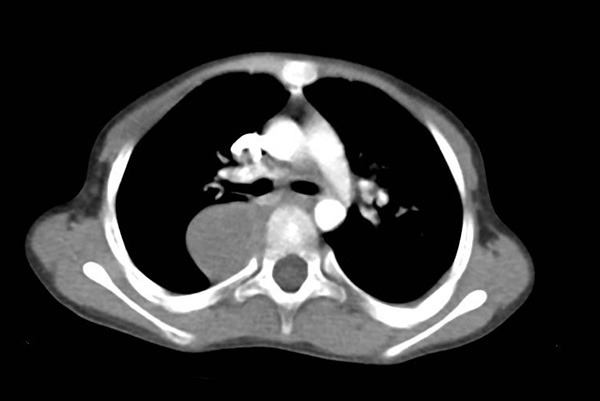
纵隔并不是一个器官,而是一个区域,准确的说是一个间隙。在我们的胸腔中间是肺脏,分为左肺和右肺,肺的周围有胸膜覆盖形成的胸膜腔。在两个胸膜腔之间的空隙便是纵隔。简单来说,纵隔可以说是在两肺之间、胸口正中的一个区域。纵隔以心脏为界可以分为前、中、后纵隔。不同空间内有着不同的重要血管、神经、淋巴管走形在其中,因此这是重要生命器官的所在地。
那么发生儿童纵隔中的有哪些常见的肿瘤呢?

2.儿童常见的纵隔肿瘤
与成人纵隔肿瘤的来源不同,儿童的纵隔肿瘤更多的以胚胎来源为主,且恶性的可能性也更大。根据肿瘤发病位置不同,常见的肿瘤类型也不尽相同。儿童前纵隔肿瘤以淋巴瘤和畸胎瘤为主,发生在后纵隔的肿瘤则更常见是神经源性肿瘤,后者也是儿童发病率较高的实体肿瘤之一。
那么如何发现孩子是否患有纵隔肿瘤呢?
3.纵隔肿瘤可能出现的症状
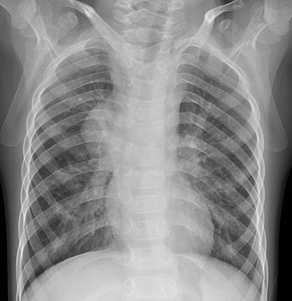
因为纵隔位置的特殊性,肿瘤刚刚形成的早期可能没有任何症状,因此很多患儿来就诊时往往是因为胸部影像学检查或体检时无意中发现的。随着肿瘤体积的逐渐增大,可能会带来一些继发症状,通常是肿瘤太大压迫到周围的器官导致的。比如压迫到气管可能会出现呼吸困难,压迫食管则导致吞咽困难,压迫到大血管可能会使血液回流受限而出现面部的水肿。

一般来讲,大部分患儿通过一张简单的胸片多能看到不同于正常的纵隔占位。如果发现患儿有相应的症状或检查发现纵隔存在异常占位,需要家长们及时带患儿至医院就诊,进一步完善影像学检查明确肿瘤的情况,手术切除或是取病理进行活检则是确定肿瘤性质的金标准。
上一篇: 什么是乳糜胸?
下一篇: 儿童外伤性气胸的预防与治疗









.jpg)

.jpg)




