儿童痉挛型脑瘫及外科治疗
作者:徐金山 2020-12-01 10:18:12 浏览次数:
早在19世纪之前,脑瘫这类疾病就在艺术作品、文学资料和古病理学中被提及。例如,法兰克福的圣画之一,海勒祭坛画(1510年)中表现的戴克里先皇女儿,双手呈痉挛样表现;人们认为她受了魔咒,所以请巫师为她驱魔。巴黎卢浮宫中,里贝拉“马蹄足”画(1642年)。但受限于当时的医学水平,没有对该类疾病系统的认识。到19世纪,人们对脑瘫逐渐形成的系统概念和认识。这个时期,加拿大的Osler医生首次完成《儿童脑性瘫痪》专著。

法兰克福的圣画之一:海勒祭坛画(1510年),

巴黎卢浮宫中的里贝拉画

Osler专著《儿童脑性瘫痪》中的脑瘫患儿图片
那么,脑瘫的定义是什么呢?脑瘫是指因孕期以及产时、围产期发生的中枢神经系统非进行损伤而导致运动障碍及姿势异常的一组综合征。我国小儿脑瘫康复会议(2014)将脑瘫分为如下几类:痉挛型(四肢瘫、双瘫、偏瘫)、不随意运动型、共济失调型、混合型。其中70-80%的脑瘫为痉挛型脑瘫。痉挛型脑瘫患儿常表现为运动发育落后,肌张力异常,反射异常,主动运动减少。肢体被动屈伸时,有“折刀”样表现。关节活动范围变小,运动障碍,姿势异常。上肢表现为腕关节掌屈,手握拳,拇指内收,手指关节屈曲,前臂旋前,肘关节屈曲,肩关节内收。下肢表现为“芭蕾舞足”、脚尖着地,膝关节屈曲或过伸,髋关节屈曲、内收、内旋,大腿内收,行走时足尖着地,呈“剪刀步态”。临床体征可见锥体束征:腱反射亢进,骨膜反射增强,踝阵挛阳性。

典型的痉挛型脑瘫患儿症状表现
导致脑瘫的非进行性脑损伤病因,包括(1)发育不成熟的大脑(产前、产时或产后)、先天性发育缺陷(畸形、宫内感染) ;(2)获得性( 早产、低出生体重、窒息、缺氧缺血性脑病、核黄疸、外伤、感染);(3)脑瘫患儿出生时常常有早产或缺氧病史、以及感染、创伤等造成的脑损伤。常见的影像表现如下:

脑室周围白质脑病/脱髓鞘样改变

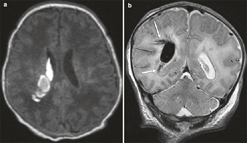
脑室出血造成脑组织梗塞

皮层区域性梗死

DTI显示右侧大脑联络纤维稀少(右侧大脑出血史)
康复是痉挛型脑瘫治疗的基础;痉挛是限制康复进行及提高的最大障碍。持续痉挛状态常造成康复治疗进入瓶颈期,继续提高运动功能的空间很有限;这不但困扰着康复医生,同时也减弱了患儿家长坚持康复的信心。而一旦康复懈怠下来,已经获得的康复效果又不能维持、症状再次反弹。这一焦点问题,通过人们过去几十年的经验总结后已得到解决。目前,选择性脊神经后根离断术(SPR)是痉挛型脑瘫持久解痉的、公认的优选治疗方案。通过SPR手术缓解痉挛,然后再进行康复训练;通过这样一个综合治疗方案使患儿获得最大的康复效果。中国脑性瘫痪康复指南(2015)提出,选择性脊神经后根切断术可以使脑瘫患儿肌张力下降,使关节活动度和肢体控制能力增强,功能明显好转;可以维持长期解除痉挛的疗效,并在短期和长期改善了儿童的粗大运动功能,减少了脑瘫儿童的矫形需求(1个I级证据)。通过SPR手术结合康复治疗,可以明显改善患儿运动能力,提高患儿生活质量;有利于缓解家庭和社会的负担。首都医科大学附属北京儿童医院功能神经外科,开展儿童脑瘫的SPR手术1000余例,总体效果好、家长满意;组建脑瘫诊疗中心,由功能神经外科、康复科、神经内科等共同进行疑难病例会诊讨论,进一步保障了治疗的安全和疗效。

北京儿童医院功能神经外科SPR手术
徐金山 副主任医师,主要从事儿童脑瘫的诊疗及外科手术工作。
出诊时间:每周二上午,功能神经外科专家门诊;每周四上午,功能神经外科特需门诊。
上一篇: 感冒为什么不能做手术
下一篇: 体温的秘密,你知道吗?









.jpg)

.jpg)




